Zobacz

Kongres Dental Tutor ‑ Bydgoszcz
Dentyski z Formo spędził Dzień Kobiet w Bydgoszczy na kongresie organizowanym przez Dental Tutor. Tematy poruszone na kongresie to estetyka i biomechanika w stomatologii.
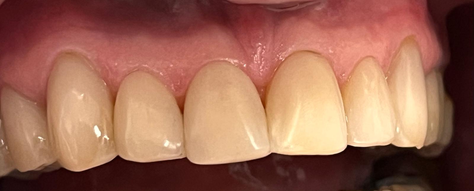
Bonding
Szybka małoinwazyjna metoda na poprawę wyglądu zębów przy użyciu kompozytów.
Przygotowanie gabinetu w czasie walki z koronawirusem
W naszej poczekalni pojawiły się już śluzy, dzięki którym wszyscy mamy czuć się bezpieczniej. Nasz personel został wyposażony w profesjonalne maski klasy FFP3, które chronią przed koronawirusem oraz jednorazowe kombinezony. Ponadto w gabinecie został zamontowany najwyższej klasy szwajcarski oczyszczacz powietrza IQ Air.
Nasza poczekalnia
Tak wygląda nasza poczekalnia. Dotarły do nas specjalistyczne oczyszczacze powietrza. Jutro zaczynamy ustawiać śluzy. Planujemy ponownie otworzyć gabinet i świadczyć doraźną pomoc stomatologiczną od 20. kwietnia.
Do dentysty bez lęku
Zachęcamy do zapoznania się  z artykułem autorstwa dr Joanny Szczudlik. Temat bliski zwłaszcza rodzicom młodszych dzieci, ale nie tylko. Jeśli wizycie u dentysty towarzyszy stres warto rozważyć użycie gazu rozweselającego. Czytaj dalej
#ZobaczFangora
Wszystkim zainteresowanym sztuką polecamy wystawę w słynnym apartamentowcu w Warszawie dzieł Wojciecha Fangora. Można tam podziwiać aż 20 dzieł wielobarwnych kompozycji, budowanych z okręgów, fal i amorficznych kształtów. Obrazy można oglądać do 1 lipca 2018 r. w każdą sobotę i niedzielę. 
Finisaż Jacka Dłużewskiego
W sobotę 24. lutego 2018 w naszym gabinecie zorganizowano finisaż prac artysty Jacka Dłużewskiego. Poza możliwością obejrzenia wystawy nasi goście wysłuchali wykładów Anny Kramm i Darii Mileckiej. 
Aparaty ruchome w ortodoncji dla dorosłych
W numerze marzec‑maj 2017 Medycyna Estetyczna ukazał się artykuł dr Agnieszki Fiacek‑Graczyk dotyczący innowacyjnej metody leczenia wad zgryzu w odcinku stetycznym aparatem ruchomym Inman. Czytaj dalej
Wernisaż w Formo
27‑go maja 2017 w przestrzeni gabinetu Formo odbył się wernisaż wystawy studentki studiów podyplomowych Wroclawskiej Akademii Sztuk Pięknych ‑ Doroty Zuber. Zapraszamy do zapoznania się z niektórymi pracami artystki, które do końca czerwca można oglądać w gabinecie.
Laser biostymulacyjny
Od marca 2017 w gabinecie Formo jest możliwość wykonywania zabiegów z zastosowanie lasera biostymulacyjnego. Czytaj dalej
Implant inny niż wszystkie
Problemy z uzębieniem często prowadzą do dramatycznych wręcz konsekwencji – wpływają na kontakty z otoczeniem, prowadzą do kompleksów i frustracji. „Odbudowa uśmiechu” to sprawa niebagatelna i daleko wykraczająca poza sferę czysto estetyczną, stąd znaczenie dla pacjentów technologii stosowanych w stomatologii, w tym ogromnie tutaj istotnych implantów. Czytaj dalej
Od sierpnia zapraszamy na zabiegi w sedacji
Uspokojenie wziewne, czyli znieczulenie gazem rozweselającym, to pewny sposób na rozluźnienie pacjenta podczas wizyty u stomatologa. Od ponad 150 lat, podtlenek azotu – N2O, stosowany jest jako popularny i bezpieczny środek na zapobieganie wystąpienia fobii dentystycznej i obniżenie poziomu bólu. Gaz dostarczany jest przez specjalną maseczkę, która zapewnia nieinwazyjne podanie go do organizmu pacjenta.
Zapraszamy do obejrzenia filmów z udziałem lekarzy z naszego gabinetu
Artyści europejskiej awangardy
Prace artysty Marc Chagall oraz innych awangardzistów takich jak Henri Matisse, Pablo Picasso, Joan Miró oraz wielu innych można powidziać w Pałacu Królewskim we Wrocławiu. Wystawa otwarta jest w lipcu i sierpniu 2016 r.
Wernisaż
4. marca 2016 na dworcu PKP Wrocław Główny otwarto galerię ArtMain Station by Mia. Jest to czasowa wystawa, którą można oglądać do czerwca 2016. Można tam zobaczyć dzieła polskich artystów współczesnych, obrazy Wojciecha Fangora, Romana Opałki, Kajetana Sosnowskiego, rzeźby Magdaleny Abakanowicz, Władysława Hasiora, Aliny Szapocznikow. Pięknie zaaranżowana przestrzeń z pięknymi dziełami. Miejsce na mapie Wrocławia, które koniecznie trzeba odwiedzić.
Przestrzeń gabinetu
W Formo mamy pracę rzeźbiarza Maxa M. Seibald\'a, który urodził się 15 marca 1968 roku w Lienz w Austrii. Studiował w Wiedniu i Wenecji. Wyróżniony w 2008 roku nagrodą dla najlepszego artysty Karyntii. Zajmuje się rzeźbą, sztuką performance i sztuką instalacji oraz projektowaniem. Od 2011 roku prowadzi Galerię Atalier‑Ekspozytur w Wiedniu. Autorski projekt \"Rzeźba żywa\" jest jego rozpoznawalną i \"uznaną marką\". Działalność artystyczną potwierdzają liczne wystawy w Europie (Austrii, Włoszech, Słowenii, Finlandii, Polsce, Chorwacji) oraz realizacje w przestrzeni publicznej w tym monumentalne obiekty w śniegu i lodzie.
Biomechanika zęba
Ciekawostka